Unsere Techniken: Digital

  • Dentsply-Sirona Connect Case Cloud

    Unsere Verbindung zu Sirona Anwender

  • 3 shape Communicate

    Für Trios Kunden ist die Communicate Plattform ideal

  • Scanning

    Wie kommt das Gipsmodell in den Computer?

  • Clear Optimizer

    Zahnkorrekturen, präzise und unsichtbar

  • Designen

    3shape Designer-Software für perfekte Kronen, Brücken, Inlay's und Veneers

  • Michigan-Schiene

    Digital Designt aus PMMA gefräst

  • Keramik-Inlay

    Fühlen Sie den Unterschied zu "günstigen" Kunststoff-Füllungen

  • Veneers

    Dünne Schalen für eine perfekte Ästhetik

  • Implantate

    Künstliche Zahnwurzeln aus Titan, wir machen wunderschöne Zähne darauf

  • KFO Festsitzend

    Festsitzende Apparaturen, mit beinahe unbegrenzten Möglichkeiten

Connect Case Center

Gerne können Sie uns Ihre digitalen Daten direkt via Connect Case Cloud senden. Wir bearbeiten diese und stellen Ihnen Ihren Auftrag her. Sie finden uns unter Zahntechnik Trachsler AG. Natürlich können Sie uns Ihre .stl Daten auch via e-mail oder We-transfer zukommen lassen.

3 shape Communicate

3shape

3shape

Für Trios Kunden sind wir dank 3 shape communicate einfach zu erreichen. Wir bearbeiten Ihre Daten und stellen den Auftrag her. Sie finden uns unter Zahntechnik Trachsler AG. Natürlich können Sie uns Ihre .stl Daten auch via e-mail oder We-transfer zukommen lassen.

CAD/CAM

Nutzen die zahlreichen Vorteile um die Präzision, Effizienz, Material-, sowie Konstruktions-Vielfalt für unsere Kunden voll auszuschöpfen und schlussendlich für unsere gemeinsamen Patienten die optimale Versorgung zu ermöglichen. Wir arbeiten bereits seit unserer Gründung 2004 intensiv mit der digitalen Technik und sind Spezialisten bei: - Kronen und Brücken - Implantat Kronen und Brücken - Modellguss - Michigan- und Schutz-Schienen - Aligner - KFO

Designen

CAD Technologie ermöglicht uns mit Hilfe des Computers ideale Kronen herzustellen. Natürlich braucht es nach wie vor eine solide Ausbildung was die Anatomie und die Morphologie der Zähne betrifft, um Ihren Zahn zu designen. Dank perfekt abgestimmtem Workflow ist es aber möglich, präzise Kronen perfekt in den Zahnkranz zu integrieren. Verlassen Sie sich auf unsere 20jährige CAD/CAM Erfahrung, für ein schönes Lächeln.

Clear Optimizler

Kleine Korrekturen der Zahnstellung -> grosse Wirkung bei der Ästhetik. Dank modernster Technik fertigen wir Tiefziehschienen an, die Frontzahnkorrekturen tagsüber erlauben. Je nach Stärke der Verschiebung wird Ihnen eine berechnete Stückzahl Schienen geliefert. Sie tragen diese in der Reihenfolge der Bezeichnungen bis Ihre gewünschte Zahnstellung erreicht wird. Natürlich werden die Schritte anhand einer Bilddokumentation aufgezeigt und besprochen. Die Ergebnisse nach 5-7 Schienen abgeglichen und der nächste Schritt eingeleitet. Ob analog mit Abdruck oder digitalem Scan, wir sind gewappnet.

Demo-Video

Veneers mit Qualitätskeramik

Gewinnen Sie ein natürliches Lächeln Wir sind immer bestrebt die ideale Lösung für unsere Kunden zu finden. Dies heisst nicht nur die neusten Materialien und Technologien sondern auch Weiterbildung, Disziplin, Achtsamkeit und Enthusiasmus sind uns eine Herzensangelegenheit, und dies für jeden Patienten. Und immer wichtiger ist auch der Preis, wir stehen für faire Preise, offerieren Ihnen verschiedene Möglichkeiten, dokumentieren Ihnen alles offen und transparent. Sie wissen genau was Sie bekommen. Für ein nachhaltiges schönes Lächeln.

Michigan-Therapieschienen

Achtung! Michigan ist nicht gleich Knirschschiene. Es braucht eine grosse Erfahrung um die Kräfte über eine Ebene und die Eckzahnführung abzuleiten, um die Gelenke zu entlasten und die Muskulatur zu entspannen. Wie designen die Schiene mit allen Bezugspunkten im virtuellen Artikulator. Kontrollieren die Bewegungen selbstverständlich analog und verfeinern die Kontaktpunkte. Sie werden begeistert vom Unterschied der Schienen made by Trachsler sein.

Implantat-Versorgungen

Implantate sind künstliche Zahnwurzeln, auf denen eine Krone oder Brücke oder aber eine abnehmbare Prothese befestigt wird. Es werden ca. 8 Implantatsysteme in der Schweiz verarbeitet. Wir verfügen über ein grosses Lager der meisten Implantat-Systeme, haben Erfahrungen mit allen gebräuchlichen Systemen. In Kombination mit der CAD/CAM Technologie sind implantatgetragene Konstruktionen nicht nur präzise und ästhetisch, sie können durch die optimale Verwendung der Materialien auch kostensparend sein. Kronen- Brückenversorgungen, sowie Prothese-Konstruktionen. Erkunden Sie sich nach unseren Empfehlungen, gemeinsam garantieren wir den Erfolg.

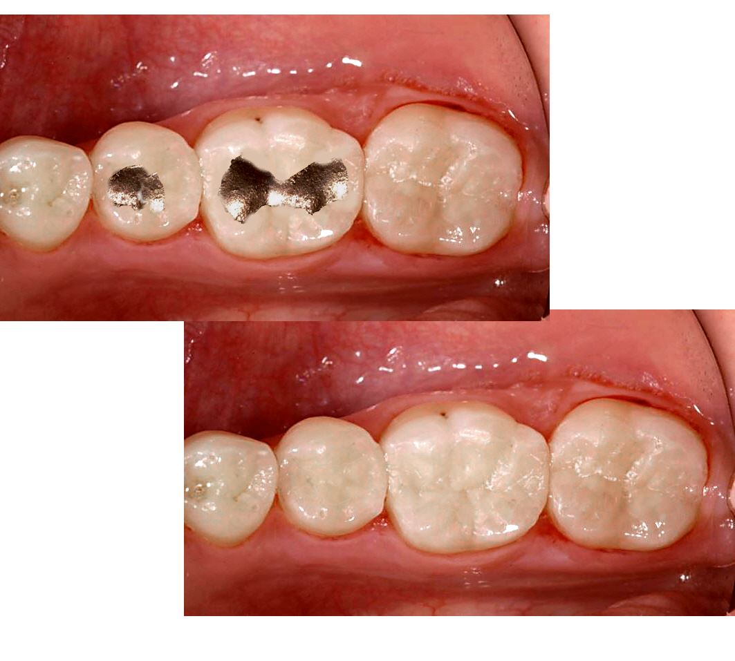
Keramik-Inlay

Für ein natürliches Lächeln. Nicht nur die Frontzähne, auch Ihre Kauflächen lassen das Lachen schöner, voller und heller erscheinen. Natürlich empfehlen wir individuelle, hochpräzise Keramik-Inlay's, für eine langlebige Versorgung, die die Restbezahnung sowie den Gegenkiefer schont. Gefertigt nach Abdrucknahme mit Silikon, oder per Intraoral-Scanner. Der Preisunterschied zu Kunststoff-Füllungen wird durch ihre Langlebigkeit bei weitem kompensiert.

GNE / Herbstapparaturen geklebt

Sprechen Sie mit uns, wir haben zusammen mit Experten Modifikationen kreiert, die ihren Alltag erleichtern. Eine Apparatur für verschiedenste Einzelkorrekturen, fast alles ist möglich.