Unsere Techniken: Analog

  • Michigan-Schiene

    Eine komplexe Therapie-Schiene, individuell angefertigt durch Spezialisten

  • VMK-Kronen

    Die bewährte Art des Zahnersatzes, noch häufig verwendet bei Geschiebe-Arbeiten

  • Sportschutz

    Sicherheit sollte an 1.Stelle stehen

  • Teil-Prothesen

    Vielseitig, erfolgreich, wie eigene Zähne, das ist unsere Teil-Prothetik

  • Implantologie

    Künstliche Zahnwurzeln, für einen perfekten Halt neuer Zähne

  • Veneer's (Keramik-Schalen)

    Zähne können bei Verfärbungen oder Formkorrekturen, mit Veneer's optimal behandelt werden.

  • Schnarchschiene

    Mit dieser Schiene wird das Gaumensegel gespannt. Die Schnarchgeräusche bleiben aus.

  • Prothesen

    Wie natürliche Zähne.
    Verankert oder auf der Schleimhaut aufliegend.

  • Inlay's

    Gesunde, schöne Kauflächen, aus harter Keramik, perfekt für die Ästhetik und das Kauen.

  • Kieferorthopädie analog

    Auch analoge KFO verarbeiten wir gerne für Sie

Veneers mit Qualitätskeramik

Gewinnen Sie ein natürliches Lächeln Wir sind immer bestrebt die ideale Lösung für unsere Kunden zu finden. Dies heisst nicht nur die neusten Materialien und Technologien sondern auch Weiterbildung, Disziplin, Achtsamkeit und Enthusiasmus sind uns eine Herzensangelegenheit, und dies für jeden Patienten. Und immer wichtiger ist auch der Preis, wir stehen für faire Preise, offerieren Ihnen verschiedene Möglichkeiten, dokumentieren Ihnen alles offen und transparent. Sie wissen genau was Sie bekommen. Für ein nachhaltiges schönes Lächeln.

Schnarchschiene nach Prof.Hinz

Schnarchprobleme als Volkskrankheit Nicht nur Ihrer/m Partner/in zuliebe, Schnarchen oder gar Apnoe (Atemaussetzer) kann zu Folgeschäden führen. Die erste und einfachste Methode dies zu unterbinden sind Schnarchschienen. Es gibt bereits unzählige Arten von Schnarchschienen. Unsere Erfahrung spricht für die IST-Schiene nach Prof. Hinz. Sie ist stabil, angenehm zu tragen, sicher verankert und wirksam. Natürlich ist auch mit diese Therapie der Erfolg nicht zu 100% garantiert, aber der erste sinnvolle Schritt vor dem Schlafmediziner. Gerne beraten wir unsere Kunden über das Vorgehen.

Vollkeramik-Kronen

Vollkeramik-Kronen, oder -Brücken gibt es heute in den verschiedensten Ausführungen. Wir entscheiden, je nach Anforderung, gemeinsam für die ideale Lösung. Dank unserer grossen Erfahrung finden wir garantiert die richtige Konstruktion für die jeweiligen Bedürfnisse. - E-Max (HT, MT, LT) und Zirkon (ML, ET, HT) stehen zur Auswahl. - Monolithisch oder Verblendet je nach Anspruch und Preisvorstellung. Ein perfektes, schönes Lächeln. Wer hat es nicht verdient?

Michigan-Therapieschienen

Nicht nur mit CAD/CAM, auch noch traditionell mit weich/harter Tiefziehschiene, stellen wir die bekannteste aller Therapieschienen her. Achtung! Michigan ist nicht gleich Knirschschiene. Es braucht eine grosse Erfahrung um die Kräfte über eine Ebene und die Eckzahnführung abzuleiten, um die Gelenke zu entlasten und die Muskulatur zu entspannen. Wie designen die Schiene mit allen Bezugspunkten im virtuellen Artikulator. Kontrollieren die Bewegungen selbstverständlich analog und verfeinern die Kontaktpunkte. Sie werden begeistert vom Unterschied der Schienen made by Trachsler sein.

VMK-Brücke

Die VMK-Technik ist auch nach 50 Jahren immer noch eine starke Lösung für die meisten Anforderungen. Auch hier hat die Herstellung und die Materialvielfalt sich stark verändert. Nicht nur Gold als Basismaterial ist gefragt, Speziallegierungen haben Einzug gehalten, bis zu CoCr- oder Titan-Legierungen, die kostengünstig und stabil sind. Wird hauptsächlich bei Brückenkonstruktionen verwendet, speziell, wenn es sich um einen Bruxer handelt.

Sportschutz

Sportschütze sind wichtig. Ob Sportarten mit Körperkontakt oder mit anderem Gefahrenpotential, wir stellen Schienen nach dem System von Playsafe her. Präzise, elastisch grazil, mit optimalem Schutz, angepasst an die Sportart und farblichem Geschmack.

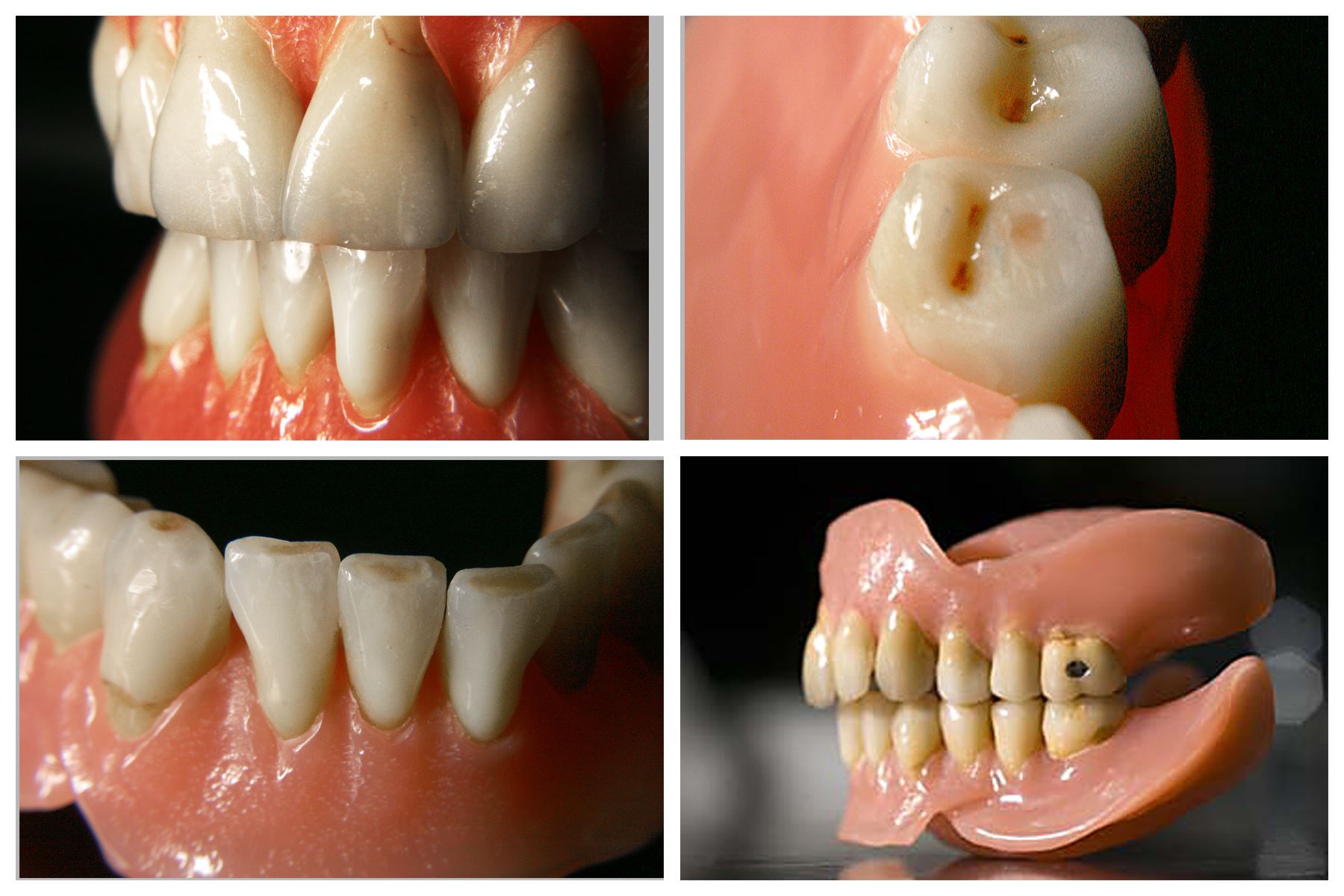
Total-Prothetik

Muss eine Total-Prothese von weitem erkennbar sein? Sicher nicht! Wir individualisieren Ihre Prothese nach Wunsch. Ob Zahnfarbe, Zahnfleischfarbe, Zahnstellung, Zahnform oder Bisslage, alles wird sorgfältig erarbeitet und angepasst. Sie werden überrascht sein wie schön, kaustabil und haftend eine perfekte Totalprothese sein kann.

Teil-Prothetik

Die optimale Planung von Modellgussgerüsten. So wichtig wie das Fundament beim Hausbau. Die Zahntechnik Trachsler AG bietet Ihnen stets die bestmögliche Lösung an. Dank dem In-House Zusammenspiel zwischen Prothetik-Spezialist und Modellguss-Designer, profitieren auch Sie davon. Gemeinsam planen, konstruieren, einprobieren, fertigstellen.

Implantat-Versorgungen

Implantate sind künstliche Zahnwurzeln, auf denen eine Krone oder Brücke oder aber eine abnehmbare Prothese befestigt wird. Es werden ca. 8 Implantatsysteme in der Schweiz verarbeitet. Wir verfügen über ein grosses Lager der meisten Implantat-Systeme, haben Erfahrungen mit allen gebräuchlichen Systemen. In Kombination mit der CAD/CAM Technologie sind implantatgetragene Konstruktionen nicht nur präzise und ästhetisch, sie können durch die optimale Verwendung der Materialien auch kostensparend sein. Kronen- Brückenversorgungen, sowie Prothese-Konstruktionen. Erkunden Sie sich nach unseren Empfehlungen, gemeinsam garantieren wir den Erfolg.

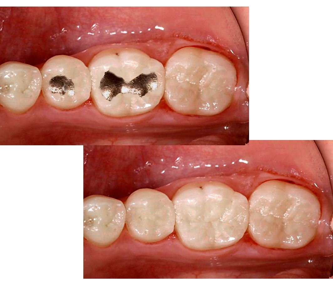
Keramik-Inlay

Für ein natürliches Lächeln. Nicht nur die Frontzähne, auch Ihre Kauflächen lassen das Lachen schöner, voller und heller erscheinen. Natürlich empfehlen wir individuelle, hochpräzise Keramik-Inlay's, für eine langlebige Versorgung, die die Restbezahnung sowie den Gegenkiefer schont. Gefertigt nach Abdrucknahme mit Silikon, oder per Intraoral-Scanner. Der Preisunterschied zu Kunststoff-Füllungen wird durch die Langlebigkeit bei weitem kompensiert.

Kieferorthopädie analog

Kieferorthopädie ist ein Fachgebiet, welches individuell auf den Fachspezialisten abgestimmt werden muss. Mit uns können Sie Ihre Wünsche besprechen, planen und umsetzen. Ob mittels Abdruck oder Scann, unsere Arbeiten sind präzise und farbig, ganz nach Ihren Wünschen.